210 rue Marcadet - 75018 PARIS

Ouvert du lundi au vendredi de 8h à 20h et le samedi jusqu’à 14 h

ou par téléphone au  :  01 42 62 37 37

CENTRE D'IMAGERIE MÉDICALE A.B. MARCADET

Accès

MÉDECINS

Accès

PATIENTS

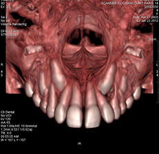
Scanner dentaire

Suivant la prescription de votre dentiste, un scanner dentaire peut être nécessaire. Certains examens sont directement utilisables par les logiciels d'implantologie par l’intermédiaire du CD-ROM qui vous est remis.

Le scanner dentaire se fait à l'aide d'un appareil équipé d'un tube à rayon X, tournant autour du patient.

Le scanner dentaire permet entre autres d'explorer des anomalies liées au développement des dents, de repérer les foyers d'infection ou des kystes autour des racines dentaires. Il permet également de préparer un implant métallique en vue de remplacer une dent manquante.

Ces examens nécessitent un important travail de reconstruction informatique, et ne peuvent parfois pas être rendus juste après leur réalisation.

  • Technique

    Le scanner dentaire se fait à l'aide d'un appareil équipé d'un tube à rayon X. Lors du déroulement de l’examen, le tube du scanner est en rotation autour du patient qui est placé sur un lit mobile. L'appareil permet alors de réaliser une imagerie en "coupes", utile à l'exploration des dents et des arcades dentaires. Grâce à un traitement informatique et à ces clichés, il est possible de reconstruire des images en 2D ou 3D (modélisation dans l’espace).

    L’examen dure environ dix à quinze minutes, puis les images sont transférées au radiologue pour analyse.

  • Précautions avant l'examen

    Prévenir en cas de grossesse, afin d’assurer une protection par un tablier plombé. L’avis du radiologue sera demandé.

  • Complications

    Aucune.

  • Indications

    Parmi celles-ci :

    • Bilan avant pose d’implants dentaires, pour repérer les zones de passage des nerfs et mesurer l’épaisseur de l’os afin de calculer les dimensions optimums de l’implant.

    • Douleurs dentaires.

    • Bilan avant extraction dentaire (dents de sagesse) ou avant soins.

    • Suivi de traitement orthodontique.

    • Traumatologie dento-faciale.

  • Contre-indications

    Aucune (cf précautions).

Les rendez-vous et le lieu de l’examen

Le scanner est installé au 108 rue du Ruisseau – 75018 PARIS (SCANNER CLIGNANCOURT), dans un centre dont nous partageons l’exploitation avec un autre groupe de radiologues libéraux.

La prise de rendez-vous se fait directement dans nos centres : Centre Marcadet au 01.42.62.37.37
et Centre Ganneron au 01.44.692.692.

Les examens sont pratiqués par les médecins de notre groupe le lundi AM (après-midi), mardi AM, mercredi M (matin), jeudi AM, vendredi M et AM et samedi M.

La gestion des rendez-vous et des dossiers se fait directement dans nos centres.

© Copyright 2014-2015 Centre d'Imagerie Médicale A.B. Marcadet - Mentions légales & CGU

Site réalisé par la société Micro Plume