210 rue Marcadet - 75018 PARIS

Ouvert du lundi au vendredi de 8h à 20h et le samedi jusqu’à 14 h

ou par téléphone au  :  01 42 62 37 37

CENTRE D'IMAGERIE MÉDICALE A.B. MARCADET

Accès

MÉDECINS

Accès

PATIENTS

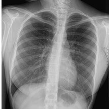
Elle peut être réalisée sur tout le corps et permet avant tout l’étude des os,

des dents, des poumons et des seins (mammographie).

 

Elle recherche :

Pour les os et articulations : des fractures, de l’arthrose, des malformations

Pour les poumons : des infections, la tuberculose, des tumeurs

Dans l’abdomen : des calculs

 

Certaines de ces techniques sont explicitées plus loin.

Elle utilise les rayons X, consistant à impressionner un film qui sera plus ou moins noirci selon l’organe radiographié : ainsi les os apparaîtront blancs et l’air noir ; les tissus mous seront de différentes nuances de gris.

 

Dans notre cabinet, la technique est numérisée et la surface sensible est en fait un capteur et non un film, ce qui permet de modifier le contraste après avoir pris le cliché et d’agrandir certaines zones pour mieux voir.

© Copyright 2014-2015 Centre d'Imagerie Médicale A.B. Marcadet - Mentions légales & CGU

Site réalisé par la société Micro Plume