210 rue Marcadet - 75018 PARIS

Ouvert du lundi au vendredi de 8h à 20h et le samedi jusqu’à 14 h

ou par téléphone au  :  01 42 62 37 37

CENTRE D'IMAGERIE MÉDICALE A.B. MARCADET

Accès

MÉDECINS

Accès

PATIENTS

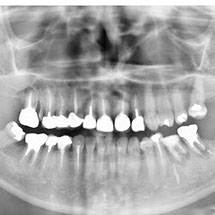
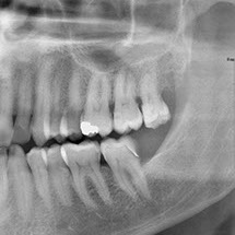
Panoramique dentaire

Il permet d’étudier la formule dentaire (nombre et position), la structure des dents et leur environnement (parodonte). Il permet de visualiser le fond des sinus (sinusite), et les articulations temporo mandibulaires (arthrose, déplacements).

On recherche surtout des lésions dentaires, des dents incluses, des kystes, des granulomes (infections), des anomalies osseuses ou des fractures.

Chez l’enfant, on analyse l’évolution de la dentition.

Cet examen est nécessaire à votre dentiste ou à votre médecin  pour établir un diagnostic précis et un traitement adapté à vos symptômes.

  • Technique

    Elle utilise les rayons X, consistant à impressionner un film qui sera plus ou moins noirci selon l’organe radiographié : ainsi les os apparaîtront blancs et l’air noir ; les tissus mous seront de différentes nuances de gris.

    Dans notre cabinet, la technique est numérisée et la surface sensible est en fait un capteur et non un film, ce qui permet de modifier le contraste après avoir pris le cliché et d’agrandir certaines zones pour mieux voir.

    Les rayons sont de faible puissance comparativement aux rayons X utilisés en radiographie pour le reste du corps ou en scanner. Leur émission reste très localisée.

    Vous êtes debout et l’appareil tourne autour de votre tête (un aller-retour).

    L’examen dure environ cinq à dix minutes, le temps de vérifier les clichés.

  • Précautions avant l'examen

    Prévenir en cas de grossesse, afin d’assurer une protection par un tablier plombé. L’avis du radiologue sera demandé.

  • Complications

    Aucune.

  • Indications

    Parmi celles-ci :

    • Douleurs dentaires et recherche d’infection (caries, abcès, inflammation au contact des racines dentaires …),.

    • Bilan avant extraction dentaire ou avant soins.

    • Suivi de traitement orthodontique.

  • Contre-indications

    Aucune (cf précautions).

© Copyright 2014-2015 Centre d'Imagerie Médicale A.B. Marcadet - Mentions légales & CGU

Site réalisé par la société Micro Plume